Blogブログ
前歯の破折に対する即時インプラント治療
2025年8月25日
本日は「前歯が折れてしまったケース」に対する治療をご紹介します。
■来院のきっかけ
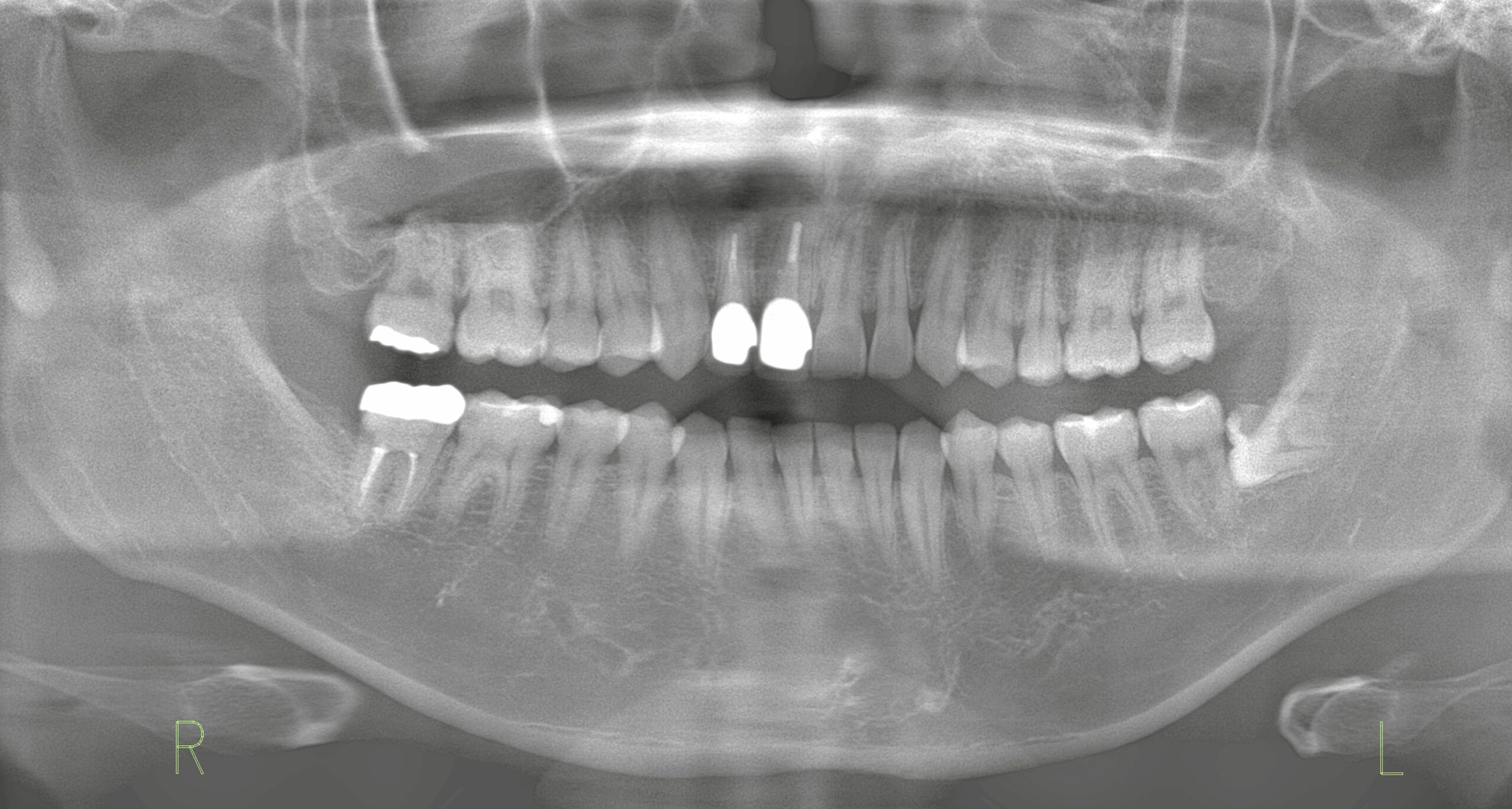
患者さまは右上の前歯が破折してしまい、腫脹と排膿。保存が困難な状態でした。

CT撮影により精査したところ、唇側の骨(前側の骨)が大きく欠損していることが確認されました。前歯は見た目にも大きく影響するため、できるだけ早く、そして審美性を保ちながら治療を進める必要があります。

■治療の流れ
1. 抜歯即時インプラント
破折してしまった前歯を抜歯し、その部位に同日にインプラントを埋入しました。
これにより治療期間を短縮し、審美性や咀嚼機能の回復も早めることができます。抜歯して待機してインプラント治療となると、待機期間が長くなることや、抜歯後予期せぬ骨吸収が起こる可能性もあるため、骨の安定のためにも早めに埋入が求められます。
2.唇側骨の造成(骨再生治療)
CT所見の通り、唇側の骨が欠損していたため、インプラント埋入後にその部位に骨補填材を用いた骨造成を行いました。
これによりインプラント周囲の骨を安定させ、長期的な予後を確保します。
3.仮歯の作成
抜去した天然の歯をトリミングし、そのまま仮歯として再利用しました。
治療直後から見た目を自然に保つことができ、患者さまの日常生活への影響も最小限に抑えることができます。

■まとめ
前歯の破折は見た目や生活への影響が大きく、患者さまにとって大きなストレスとなります。
しかし、CTによる正確な診断と即時インプラント・骨造成・仮歯作製といったステップを組み合わせることで、
「機能」と「見た目」の両方を可能な限り早く回復することが可能です。
当院では、インプラント治療を単なる欠損補綴としてではなく、審美性・機能性・長期安定性を重視した包括的な治療としてご提供しています。