Blogブログ
前歯の治療選択 ― インプラントだけが正解ではありません
2025年9月5日
今日は、上の前歯の治療に関するケースをご紹介します。
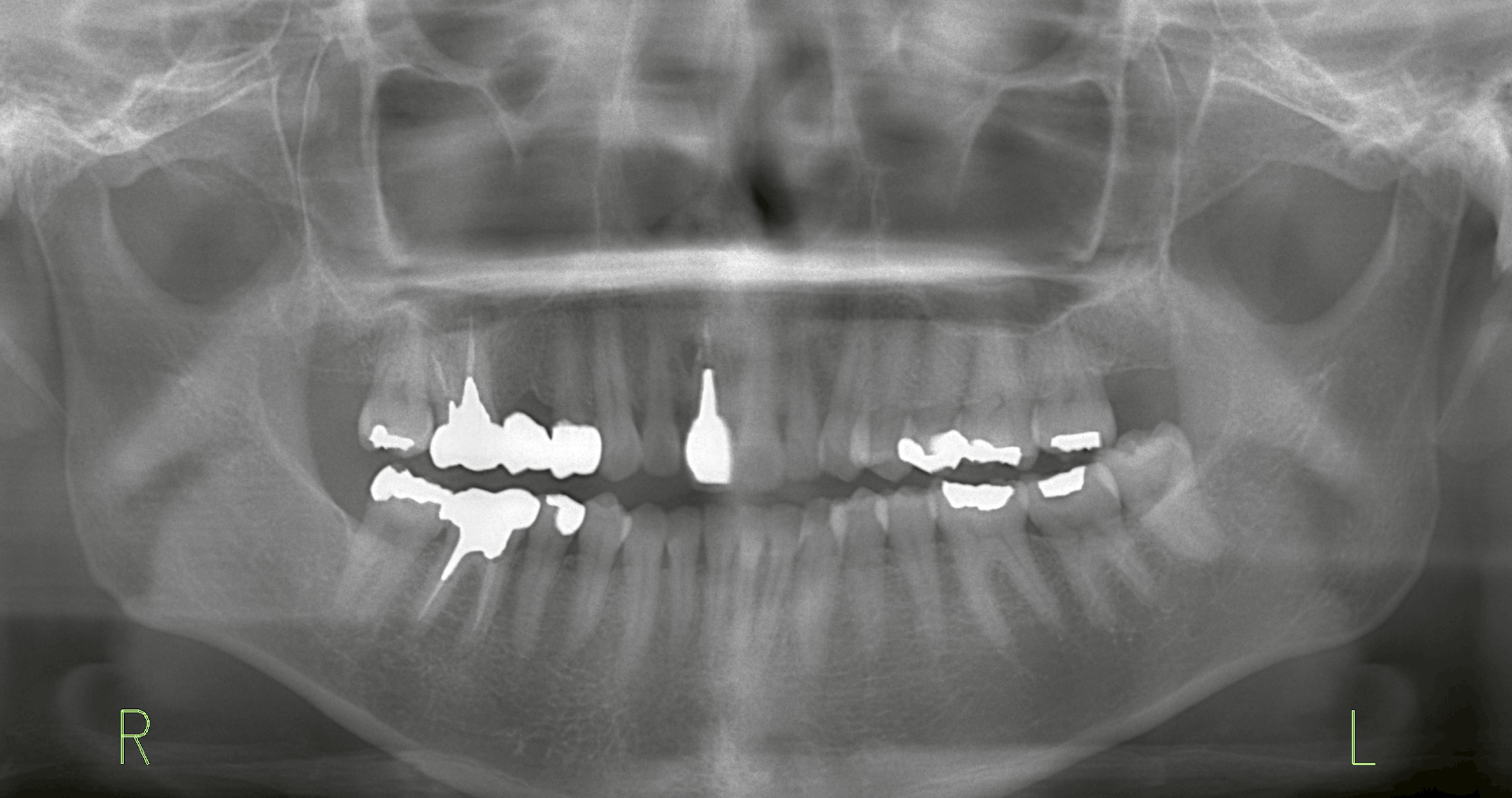
抜歯が必要な状態に
前歯は見た目の印象を大きく左右するため、保存を最優先に考えます。しかし今回のケースでは、歯根の状態が悪く、抜歯が避けられない状況でした。
患者様は「抜歯後はインプラントで治したい」とご希望されていました。



インプラントは万能?
インプラントは確かに優れた治療法ですが、今回のケースでは問題がありました。
抜歯部位の骨欠損が大きく、骨造成(骨を補う手術)が必要だったのです。さらに、両隣の歯肉の高さや審美性を考慮すると、1回の手術だけでは難しく、複数回に分けて治療が必要になる可能性がありました。
ブリッジという選択肢
そこで、私たちは「インプラント=最善」ではなく、他の治療法も含めてトータルに検討しました。
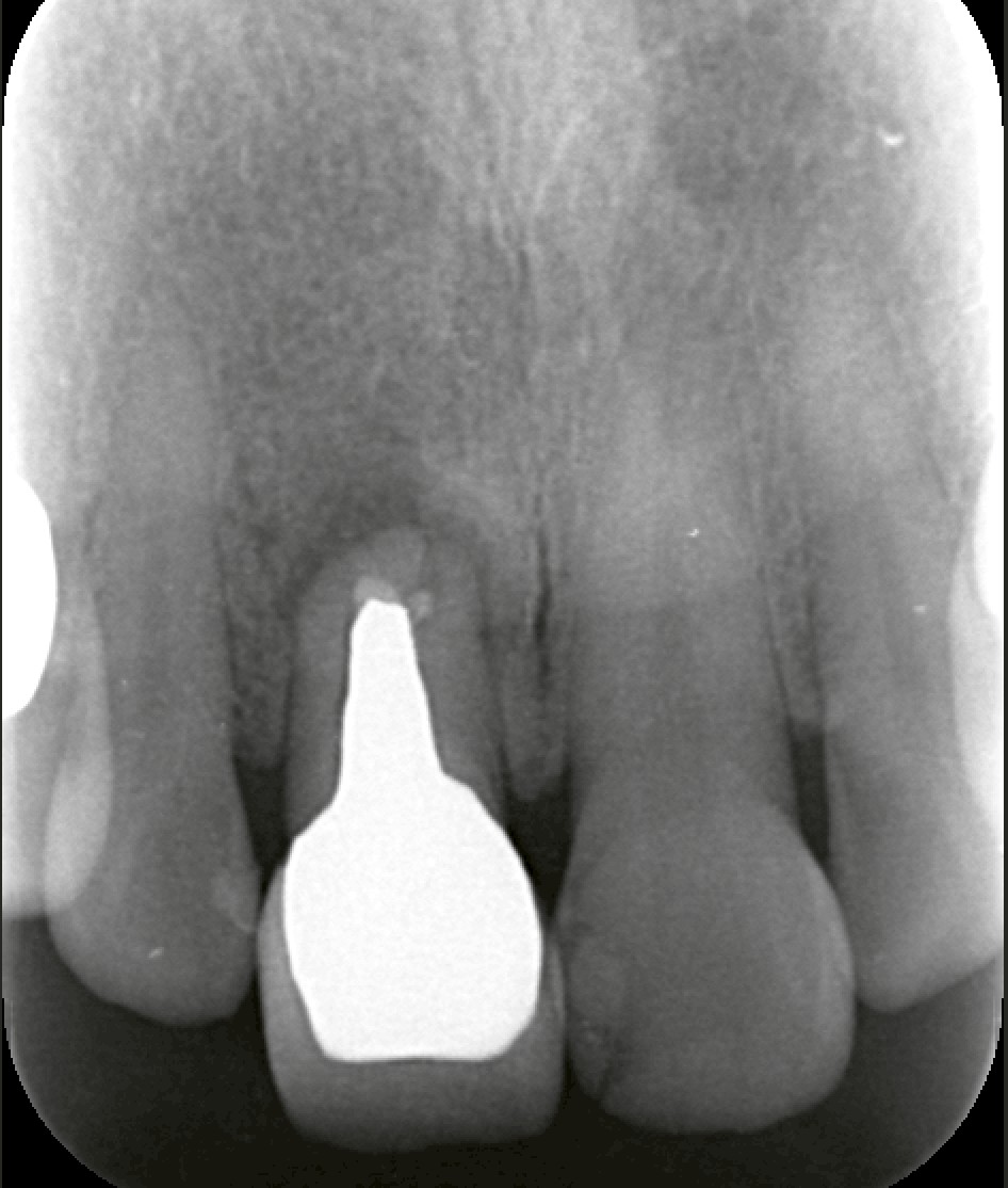
今回のケースでは、接着性ブリッジでの回復をご提案しました。
接着性ブリッジのメリットは:
* 審美性を比較的シンプルに回復できる
* 手術の侵襲がなく、治療回数も少ない
* トータル的に患者様の負担が軽い
もちろん、ブリッジには支える歯への影響など注意点もありますが、今回は総合的に見てブリッジの方がベネフィットが高いと判断しました。
治療の選び方
「インプラントが一番いい治療」と思われがちですが、実際には患者様ごとに最適な治療法は異なります。
審美性・機能性・侵襲性・治療期間・費用… さまざまな要素を考慮して、もっとも良い結果につながる治療法を選ぶことが大切です。
小嶋デンタルクリニックでは、常に複数の視点から治療計画を立て、患者様にとって最善のゴールを一緒に探していきます。
インプラントやブリッジでお悩みの方は、お気軽にご相談ください。